GARRISON DENTAL
Bandas Matrices
Conoce toda la gama de Bandas Matrices disponibles:
- Composi-Tight® 3D Fusion™ Full Curve Matrix Bands
- Composi-Tight® 3D Fusion™ Firm Matrix Bands
- SlickBands SXR-Series Matrix Bands
- SlickBands SM-Series Matrix Bands
- Composi-Tight M-Series Matrix Bands
- Composi-Tight B-Series Matrix Bands
- Composi-Tight Gold Matrix Bands
- Composi-Tight Clear Matrix Bands
- Blue View VariStrip Matrices
- SlickBands Tofflemire-Style Matrices
Composi-Tight® 3D Fusion™ Full Curve Matrix Bands
Las matrices Composi-Tight® 3D Fusion™ Full Curve Matrix Bands son el pináculo de más de 20 años de investigación y desarrollo de Garrison en el área de materiales de matrices seccionales. Las matrices 3D Fusion™ han sido diseñadas, en cada detalle, para mejorar y simplificar las restauraciones de Clase II:
¡Envuélvalo! – Las matrices con una curva completa envuelven más el diente – sin interferir en su trabajo – y confieren una anatomía óptima gracias a su forma y diseño.
Altas o anchas – áreas subgingivales mejoradas y mayor anchura para hacer frente a restauraciones profundas o preparaciónes extra anchas de manera exitosa.
Antiadherrente – Garrison lo inventó y nada impide mejor la adhesión del agente de bonding y del composite.
Composi-Tight® 3D Fusion™ Firm Matrix Bands
Las nuevas bandas de matriz de Composi-Tight® 3D Fusion ™ Firm con tecnología eZ-Place ™ mantienen su forma durante la colocación, lo que las hace mucho más fáciles de insertar.
La tecnología eZ-Place ™ combina acero inoxidable especialmente procesado con un proceso de formación de bandas de matriz patentado para producir las notables características de manejo de Fusion Firm. Resiste la deformación casi un 70% mejor que las típicas bandas blandas, sin embargo, está precontorneado y es súper delgado a 0.0015 «. Tiene la garantía de los contactos ajustados y la anatomía ideal que espera de Composi-Tight® 3D Fusion ™ sistema.
SlickBands SXR-Series Matrix Bands
Las Slick Bands™ XR eliminan el inconveniente de bandas matrices difíciles de retirar. Un revestimiento ultra delgado sobre las bandas matrices de acero fino muy blandas impide la adhesión con el material de conexión en un 92 %. De esa manera resulta muy fácil el retiro de las bandas. Las bandas matrices SXR tienen un espesor de 0,038 mm.
Nuevas matrices Slick Bands™ XR:
- Extensiones de asidero Grab-Tabs™ para una colocación más sencilla
- Recubrimiento antiadherente
- Extensión subgingival ensanchada
SlickBands SM-Series Matrix Bands
Las Slick Bands™ XR eliminan el inconveniente de bandas matrices difíciles de retirar. Un revestimiento ultra delgado sobre las bandas matrices de acero fino muy blandas impide la adhesión con el material de conexión en un 92 %. De esa manera resulta muy fácil el retiro de las bandas. Las bandas matrices SXR tienen un espesor de 0,038 mm.
Nuevas matrices Slick Bands™ XR:
- Extensiones de asidero Grab-Tabs™ para una colocación más sencilla
- Recubrimiento antiadherente
- Extensión subgingival ensanchada
Composi-Tight M-Series Matrix Bands
Si prefiere una banda metálica, la banda matriz Composi-Tight® Serie M es su mejor elección. Con conformación previa en 3 dimensiones ofrecen un contacto perfecto a la altura natural del contorno de la pieza dental. La banda tiene un espesor de 0,035 mm y es 16 % más larga que las bandas originales (Serie B)
Composi-Tight B-Series Matrix Bands
Las bandas matrices seccionales originales de Garrison son un poco más cortas que las demás bandas matrices seccionales. Las bandas matrices Composi-Tight® Serie B originales presentan una conformación previa tridimensional para lograr un contacto perfecto a la altura correcta de las piezas dentales. Las bandas tienen un espesor de 0,035 mm.
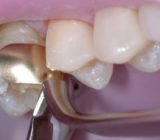
Composi-Tight Gold Matrix Bands
Ninguna otra marca puede brindar el equilibrio de las bandas Composi-Tight Gold® en lo que respecta a la resistencia y flexibilidad en restauraciones con composite. ¡Podrá apreciar la diferencia! Las bandas matrices serie AU tienen un espesor de 0,035 mm y las matrices de tamaño estándar son un 16 % más largas que las bandas originales (Serie B).
Composi-Tight Clear Matrix Bands
Las bandas matrices Composi-Tight 3D Clear están disponibles en tres alturas, 5,0 mm, 5,9 mm y 6,8 mm, todas tienen un espesor de 0,05 mm. Los tres tamaños presentan pequeñas extensiones de asidero en el borde gingival para facilitar su colocación. Las bandas se han conformado de manera tridimensional. Esta conformación previa está reforzada en el borde a fin de garantizar una mejor adaptación a la anatomía. La coloración Blue View™ ofrece un excelente contraste entre la banda matriz y la pieza dental, mejorando así la visión sin perjudicar la polimerización del composite.
-
-
- Una banda especialmente lisa conforma una superficie del composite que solo requiere un procesamiento posterior / pulido mínimo.
- El poliéster no se deforma y, por lo tanto, es más fácil de colocar.
- El borde oclusal está doblado ligeramente para lograr con el menor esfuerzo un acabado bien formado.
- Si el contacto después de la preparación no está totalmente interrumpido, puede introducir la banda con ayuda de las extensiones de colocación, tal como si lo hiciera con un hilo dental en los espacios interdentales.
-
Blue View VariStrip Matrices
Las bandas matrices azul transparente Blue View™ VariStrip™ de conformación excelente para dientes frontales ofrecen una forma y altura de banda óptimas para casi cualquier restauración de dientes frontales. La banda matriz de poliéster de 0,05 mm de espesor se estrecha desde un extremo más ancho hasta el extremo opuesto más delgado y presenta una conformación anatómica previa. La banda puede colocarse proximalmente y desplazarse hasta que coincida perfectamente con la altura del diente. La conformación previa de la banda permite una reconstrucción más sencilla de la anatomía oclusal-gingival, evitando así la formación de espacios interdentales aplanados.
La forma curvada ofrece la conformación y altura de banda óptima para casi cualquier restauración de dientes frontales.
La coloración azul ofrece un contraste entre la banda matriz y la anatomía dental sin afectar la polimerización del composite.
SlickBands Tofflemire-Style Matrices
Las bandas matrices Slick Bands™ antiadherentes son las primeras bandas en el estilo Tofflemire que solucionan el inconveniente de las bandas matrices difíciles de retirar. Un recubrimiento ultra delgado de las bandas matrices de acero fino muy blandas impide una adherencia al material de conexión en un 92 %.
La banda matriz Right-Curve™ conforma una marcada forma de embudo cuando es colocada alrededor de la pieza dental. Es la elección correcta para muchas restauraciones:
-
-
- Simplificación de las cavidades muy amplias.
- Visión mejorada en el caso de muñones.
- Una terminación gingival más estrecha es útil en todas las restauraciones.
- Mejor alcance de la pieza dental adyacente para lograr contactos más anchos y profundos.
-





























