CASOS BICON, CLÍNICA DENTAL, IMPLANTES CORTOS
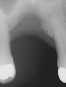
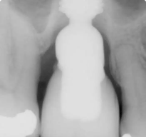
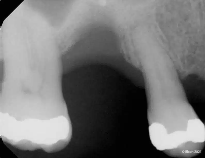
Caso Bicon: Seguimiento radiográfico de siete años de un implante Bicon SHORT® de 6,0 x 5,0 mm con un pilar de elevación de seno y una corona de pilar integrada (IAC)
Seguimiento radiográfico de siete años de un implante Bicon SHORT® de 6,0 x 5,0 mm con un pilar de elevación de seno y una corona de pilar integrada (IAC)
Presentamos el caso de un paciente masculino de 69 años, en el que se realizó la extracción dental seguida de la colocación de un implante Bicon SHORT® de 6,0 x 5,0 mm con pilar de elevación de seno.
El caso se restauró con una corona de pilar integrado (IAC) de 20 mm de longitud y ha sido seguido durante 84 meses.
Este caso destaca no solo por la estabilidad a largo plazo del implante corto, sino también por mostrar de forma radiográfica la aplicación de la Ley de Wolff: el hueso se adapta y se refuerza en respuesta a la carga funcional.
Haz clic en una imagen para verla más grande en una presentación de diapositivas. Haz clic en los iconos de flecha o usa la flecha del teclado para cambiar las fotos. Para salir de la presentación de diapositivas, haz clic en la X en la esquina inferior derecha o presiona ESC.
Si quieres saber más sobre los implantes cortos Bicon no dudes de visitar:






Deja un comentario