CASOS C-TECH, CLÍNICA DENTAL
Caso C-Tech: Pilar OMNI y carga inmediata con técnica de «socket shield»
Dr. Santiago Fernández
Situación inicial : (imágenes 1 y 2)
El paciente presentaba movilidad en el incisivo lateral superior izquierdo. La evaluación clínica no reveló movilidad radicular ni signos de infección, y solo una leve pérdida ósea en la papila mesial. Optamos por un abordaje mínimamente invasivo para preservar el nivel óseo existente y prevenir la reabsorción futura en áreas críticas como la placa bucal y la papila. El procedimiento elegido fue la técnica de protección del alvéolo.
Paso uno :
Se extrajo el diente según el protocolo, conservando la porción bucal de la raíz unida al hueso bucal. Nuestro diseño de escudo incluyó proyecciones mesiales y distales para sostener el hueso papilar (imagen 3) .

Paso dos :
El escudo se moldeó cuidadosamente con un láser YSGG para evitar cualquier traumatismo en los tejidos blandos (imagen 4) .
Paso tres :
Se preparó el alvéolo para la colocación del implante (imágenes 5 y 6) . Seleccionamos un pilar C-Tech One Time (imagen 7) , que aseguró un sellado efectivo del alvéolo y soportó la prótesis provisional inmediata.

Resultado postoperatorio :
Las fotos muestran una cicatrización exitosa y una excelente estabilidad primaria (imágenes 8 y 9) .
Cuatro meses después :
Comenzó la fase restauradora. Los tejidos blandos se veían sanos y bien cicatrizados, sin complicaciones (imágenes 10 y 11) . En esta etapa, reemplazamos el pilar inicial con un pilar C-Tech OMNI, elegido por su perfil más estrecho que permite una mejor adaptación a los tejidos.

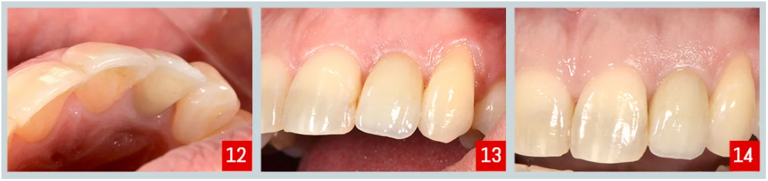
Resultado final : (imágenes 12, 13 y 14)
Se observó tejido blando sano y papilas conservadas tanto en la zona mesial como en la distal alrededor de la restauración final.

Seguimiento a los 12 meses : (imágenes 15, 16, 17 y 18)
Se confirmó la estabilidad de los tejidos duros y blandos, manteniendo el volumen alcanzado en el momento de la cirugía.







Deja un comentario